Preventief
- Advies over allerlei vormen van mondverzorging
- Fluoridebehandelingen
Heeft u suikerziekte? Let dan extra op uw gebit en tandvlees. Mensen met diabetes hebben vaker problemen met hun tanden en tandvlees. Dat kan komen door te veel suiker in uw bloed. En de hoeveelheid bloedsuiker blijft juist minder stabiel bij problemen in de mond. Zo kunt u in een kringetje ronddraaien. Wie diabetes heeft, loopt meer risico op:
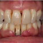
- tandvleesontstekingen (gingivitis)
- tandvleesontstekingen met verlies van kaakbot (parodontitis)
- schimmelinfecties
- droge mond
- gaatjes
Bij diabetes zijn problemen in de mond extra vervelend, want daardoor kan de bloedsuikerspiegel moeilijker goed blijven.
Iemand met diabetes is gevoeliger voor ontstekingen en infecties. Dus ook het tandvlees en kaakbot ontsteken sneller. Dat gebeurt vooral wanneer de bloedsuikerspiegel vaak te hoog is. Dus bij slecht ‘ingestelde’ diabetes, waarbij het niet lukt om de bloedsuikerspiegel goed te houden. Hebt u vaak te veel bloedsuiker? Dan wil uw lichaam die suiker kwijtraken door veel te plassen. U hebt dan ook vaak een drogere mond. Speeksel beschermt op een natuurlijke manier uw gebit. Hebt u minder speeksel, dan krijgen gaatjes en tandvleesontstekingen meer kans. Ook hebben veel mensen met diabetes een slechtere doorbloeding van het lichaam. Dat gebeurt vooral als iemand jarenlang vaak een hoge bloedsuikerspiegel heeft. De bloedvaatjes raken dan beschadigd. Dat is een van de redenen dat bijvoorbeeld wondjes maar ook ontstekingen slechter genezen. En ontstekingen in het lichaam zorgen weer voor een hogere bloedsuiker. Het tandvlees zit vol met kleine bloedvaatjes. Als deze beschadigd zijn, heeft u eerder kans op gingivitis en parodontitis: Hebt u diabetes? Zorg voor een gezonde bloedsuikerspiegel, dat voorkomt veel problemen. Vraag aan uw huisarts of diabetesverpleegkundige wat u kunt doen om uw bloedsuikerspiegel te verbeteren. (Bron: Ivoren kruis, folder diabetes en mondgezondheid)
Tanderosie vormt een steeds groter bedreiging voor het gezonde gebit. Tanderosie is slijtage van het glazuur door zuren uit eten of drinken of uit de maag door regelmatig overgeven bij anorexia en boulimia. De zuren uit drinken en voedsel maken dat het harde tandweefsel tijdelijk zachter wordt. Speeksel kan dit neutraliseren, waardoor het natuurlijk evenwicht in de mond wordt hersteld en het glazuur weer langzaam harder wordt. Dit herstel verloopt echter traag. Als zuren vaak in contact met het gebit komen, of als het gebit direct na het eten of drinken gepoetst worden, krijgt de mond geen kans zichzelf te herstellen. Het gaat er dus niet alleen om hoeveel zure producten u eet of drinkt, maar ook hoe vaak u dit doet per dag en hoe lang u de zure producten in uw mond houdt. Doordat we vaker achter elkaar dooreten (veel tussendoortjes) krijgt het glazuur geen tijd om zich te herstellen. Daardoor krijgt tanderosie een kans.
Hoe kunt u tanderosie voorkomen?
Wacht na het eten of drinken tenminste één uur met tandenpoetsen. Dat geeft het tandglazuur de tijd om zich te herstellen. Beperk het gebruik van zure dranken en zuur voedsel. Neem als alternatief zoveel mogelijk gewone thee (geen vruchten- of kruidenthee), koffie (alles zonder suiker)
of melk. Houd de zure producten zo kort mogelijk in uw mond. Spoel de drank dus niet rond in uw mond en drink het liefst met een rietje. Zuig ook niet op een zuur
snoepje of andere zure producten. Beperk het aantal keren dat u eet of drinkt tot maximaal 7 keer per dag. Gebruik 3 maaltijden en maximaal 4 keer iets tussendoor.
Bronnen:
Folder: Erosie: een groeiend probleem voor de tandheelkunde van de 21e eeuw van GlaxoSmithKline
Ivoren Kruis folder: Tanderosie, hoe voorkom je dat?
Slechte adem is een groot probleem. Niet alleen voor degene die een slechte adem heeft, maar ook voor de naaste omgeving van deze persoon. Ongeveer 1 op de 4 volwassenen heeft een abnormale geur uit de mond. Het is niet makkelijk om erachter te komen of je last hebt van een slechte adem. Aangezien slechte adem kan wijzen op gebitsproblemen en soms in zeldzame gevallen op een gezondheidsprobleem, moeten we een slechte adem eigenlijk altijd melden.
Wat is de oorzaak?
Het is algemeen bekend dat wanneer tanden en kiezen niet goed gepoetst worden, men uit de mond gaat stinken. Bacteriën hopen zich dan op tussen de tanden en het tandvlees (pocket) en deze produceren een zwavellucht. Uit onderzoek is gebleken dat in de meeste gevallen (87% !) de slechte adem ontstaat doordat er bacteriën op de tong nestelen. De oorzaken van slechte adem zijn meestal bacteriën en tongaanslag.
Wat kun je gebruiken om een slechte adem te behandelen:
- Tongreiniger
- Mondspoelmiddelen
- Mondspray’s
- Tandpasta’s
Behandeling
- Tandvleesproblemen
- Behandeling van gevoelige tandhalzen
- Bacteriologisch onderzoek (kweek)
- Reinigen van implantaten
- Laserbehandelingen voor o.a. aften en koortslippen
Esthetisch
- Gebitsreiniging en polijsten
- Verwijderen van rookaanslag d.m.v. de airflow
- Plaatsen tand-diamant
Voor meer informatie betreffende bovengenoemde behandelingen, kunt u contact opnemen met Mondhygiënepraktijk Leerdam.
Meer informatie over mondgezondheid?
Lees of download dan de folders van het ivoren kruis