Laser

Laser is een precieze, geconcentreerde bundel van licht. Met behulp van de laser kun je zeer gericht en zeer precies allerlei behandelingen uitvoeren. Bij gebruik van de diodelaser is het mogelijk om zowel ongezond celweefsel als besmet of ongezond mondslijmvlies te ontsmetten.

Toepassing

Na verwijdering van tandsteen en schoonmaken van de pockets worden bij gebruik van de laser de bacteriën geëlimineerd, verdampt het ontstoken celweefsel en brengt het herstellende biostimulatie van celweefsel teweeg. Bij aanwezigheid van implantaten worden de implantaten niet aangetast en blijft de structuur dezelfde. De bacteriedodende werking van de laser bij het gebruik van een non-contact handstuk creëert een goede basis voor een snelle en goede genezing van aften en herpes (koortslip).

Voordelen van behandeling met de laser
  • Optimaal resultaat bij minimale belasting voor de patiënt;
  • De behandelingen zijn meestal pijnloos door de analgetische (verdovende) werking;
  • De laser heeft een coagulerende (bloedstelpende) werking en stopt zelfs bloedingen;
  • Er is geen of minder napijn en zwelling;
  • Granulatie (ontstoken) weefsel wordt verdampt zonder het wortelcement te beschadigen;
  • Bacteriën worden gedood;
  • Ook is de laser geschikt voor het behandelen van aften en herpes;
  • De wondgenezing gaat sneller dan bij een ‘gewone’ behandeling;
  • De individuele cellen worden door de laser beïnvloeden gestimuleerd.
Contra-indicatie

Er is een aantal situaties waarbij de laser niet ingezet mag worden:

  • Foto-allergische reactie van de patiënt;
  • Patiënt is recentelijk bestraald in het hoofd/hals gebied;
  • In geval van hyperthyreoïdie (te snelle schildklierfunctie)
Laserapparaat
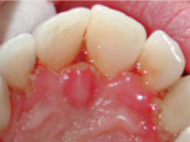
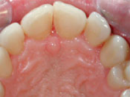
Behandeling van ontstoken tandvlees, voor en na
ontstokentandvleesvoor
ontstokentandvleesna
Behandeling van implantaten, voor en na
implantvoor
implantna
Behandeling van een koortslip, voor en na
koortslipvoor
koortslipna